医師免許申請用診断書

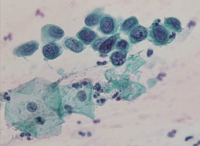
23歳の女性(0妊0産)。初めて受けた子宮頸がん検診で異常を指摘された。自覚症状はない。身長158cm、体重50kg。体温36.2℃。脈拍84/分、整。血圧106/66mmHg。呼吸数16/分。内診で子宮は正常大で可動性良好。両側付属器に腫瘤を触知しない。子宮頸部擦過細胞診像とコルポスコピィ像を別に示す。

診断確定のために必要な検査はどれか。


弱拡大


強拡大

a. 子宮鏡

b. 膀胱鏡

c. 子宮内膜細胞診

d. 下部消化管内視鏡

e. 子宮頸部狙い組織診

解答を見る

過去問チャートは、医療系国家試験の過去問をテーマ別に整理・解説した無料の学習サービスです。
※公式問題・正答は厚生労働省公開資料をもとに整理しています。


システム設計・解説記入:米澤 昌紘(X : @leknyan
(医師/日本橋内科クリニック院長)