66歳の女性。労作時の前胸部不快感を主訴に来院した。10年前から高血圧症、糖尿病で定期的に通院加療を受けている。2か月前から、朝6時ごろのゴミ出しの時に胸部不快感を自覚することが数回あったため来院した。
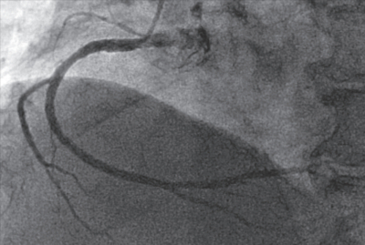
来院時の心電図は完全右脚ブロックで以前と変化はなかった。トレッドミル負荷心電図検査では目標心拍数に達したが、十分な判定ができる所見は得られなかった。冠動脈造影検査で、左前下行枝に50~75%程度の狭窄病変を認めた。矢印は病変部を示す。血行再建術の適応と考えられた。
心筋虚血の有無を評価するために適切な検査はどれか。
a. Holter心電図
b. FDG-PET検査
c. Master 2階段法
d. MIBG心筋シンチグラフィ
e. 運動負荷タリウム心筋シンチグラフィ
