76歳の男性。呼吸困難のため救急車で搬入された。8日前から発熱、乾性咳嗽が出現し、本日夕方から安静時でも呼吸が苦しいと訴えていた。意識がもうろうとしていることに妻が気づき救急車を要請した。妻は2週間前に咽頭痛、微熱を認めたが現在は改善している。喫煙歴は20~63歳まで20本/日。
意識はJCS III-100。身長 163 cm、体重 65 kg。体温 37.7℃。心拍数 80/分、整。血圧 104/64 mmHg。呼吸数24/分。SpO2 93%(リザーバー付マスク 10L/分 酸素投与下)。心音に異常を認めない。両側背部の下胸部にcoarse cracklesを聴取する。
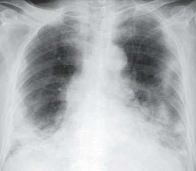
血液所見:赤血球 470万、Hb 14.2 g/dL、白血球 4,800、血小板 1.0万、PT-INR 2.4(基準 0.9~1.1)。血液生化学所見:LD 629 U/L(基準 120~245)、尿素窒素 23 mg/dL、クレアチニン 0.9 mg/dL、血糖 128 mg/dL。CRP 10 mg/dL。動脈血ガス分析(リザーバー付マスク 10L/分 酸素投与下):pH 7.40、PaCO2 42Torr、PaO2 64Torr、HCO3- 24mEq/dL。心電図:正常洞調律。胸部エックス線写真と胸部CTを別に示す。唾液を用いたSARS-CoV-2のPCR検査は陽性であった。
現時点で適切なのはどれか。2つ選べ。
a. 人工呼吸管理
b. 抗線維化薬投与
c. 気管支鏡下肺生検施行
d. 副腎皮質ステロイド投与
e. シクロフォスファミド経口投与
