59歳の男性。呼吸困難のため救急車で搬入された。
現病歴:仕事中に突然の息苦しさが出現した。胸痛は自覚しなかった。早めに帰宅し自宅で安静にしていたが、症状が持続するため救急車を要請した。
既往歴:高血圧症を指摘されたことがあるが、投薬治療は受けていない。
生活歴:職業は銀行員。喫煙歴はない。飲酒は機会飲酒。
家族歴:特記すべきことはない。
現 症:意識は清明。顔貌はやや苦悶様。身長167cm、体重58kg。体温36.5℃。心拍数108/分、整。血圧134/86mmHg。呼吸数20/分。SpO2 99%(マスク5L/分 酸素投与下)。眼瞼結膜と眼球結膜に異常を認めない。頸静脈の怒張を認めない。心音はIII音ギャロップを呈しており、心尖部を最強点とするLevine 4/6の全収縮期雑音を聴取する。呼吸音は両側の下胸部にcoarse cracklesを聴取する。腹部は平坦、軟で、肝・脾を触知しない。下腿に浮腫を認めない。
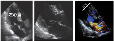
検査所見:血液所見:赤血球 442万、Hb 13.8 g/dL、Ht 42%、白血球 7,300、血小板 20万。血液生化学所見:LD 218 U/L(基準 120~245)、CK 70 U/L(基準 30~140)、尿素窒素 19 mg/dL、クレアチニン 0.8 mg/dL、血糖 158 mg/dL。心筋トロポニンT迅速検査陰性。胸部エックス線写真で肺うっ血を認めた。心電図と心エコー図とを別に示す。心エコー検査では左室駆出率は75%で、局所壁運動異常は認めず、僧帽弁後尖に線維状の構造物の付着を認めた。
病態はどれか。
a. 僧帽弁狭窄症
b. 肺動脈弁狭窄症
c. 大動脈弁狭窄症
d. 僧帽弁閉鎖不全症
e. 大動脈弁閉鎖不全症
この患者に出現した弁膜症の原因として最も考えられるのはどれか。
a. 腱索断裂
b. 乳頭筋断裂
c. 動脈硬化症
d. Marfan症候群
e. 感染性心内膜炎
弁膜症に対する緊急手術を行うこととなった。
手術までの治療として血行動態の改善が期待できるものはどれか。2つ選べ。
a. β遮断薬投与
b. 血管拡張薬投与
c. ジギタリス投与
d. 体外式ペースメーカー留置
e. 大動脈内バルーンパンピング〈IABP〉挿入
