21 歳の男性。胸郭の変形を主訴に来院した。 3 歳ごろから変形が目立ち、人前で着替えることを恥ずかしいと思っている。
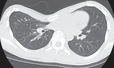
体温 36.8 ℃。脈拍 84/分、整。血圧120/68 mmHg。呼吸数 18/分。SpO₂ 98 %(room air)。胸骨陥凹があり呼吸性に変動しない。皮膚の発赤、腫脹および熱感はない。胸部に圧痛を認めない。心音と呼吸音とに異常を認めない。胸部単純 CTを別に示す。
考えられる疾患はどれか。
a. 鳩胸
b. 漏斗胸
c. 骨軟骨腫
d. 肋軟骨炎
e. 結核性脊椎炎
21 歳の男性。胸郭の変形を主訴に来院した。 3 歳ごろから変形が目立ち、人前で着替えることを恥ずかしいと思っている。
体温 36.8 ℃。脈拍 84/分、整。血圧120/68 mmHg。呼吸数 18/分。SpO₂ 98 %(room air)。胸骨陥凹があり呼吸性に変動しない。皮膚の発赤、腫脹および熱感はない。胸部に圧痛を認めない。心音と呼吸音とに異常を認めない。胸部単純 CTを別に示す。
考えられる疾患はどれか。
a. 鳩胸
b. 漏斗胸
c. 骨軟骨腫
d. 肋軟骨炎
e. 結核性脊椎炎
漏斗胸は胸骨が後方に陥没して胸郭が内側に窪む状態を指し、発育中に徐々に目立ってくることが一般的。
この状態は、健康に影響を与えることは少ないが、外見による心理的な影響が大きい。
過去問チャートは、医療系国家試験の過去問をテーマ別に整理・解説した無料の学習サービスです。
※公式問題・正答は厚生労働省公開資料をもとに整理しています。
システム設計・解説記入:米澤 昌紘(X : @leknyan)
(医師/日本橋内科クリニック院長)