63 歳の男性。呼吸困難を主訴に来院した。 4 週間前から労作時の呼吸困難を自覚するようになり、 1 週間前から右胸の圧迫感を自覚するため受診した。喫煙は20 本/日を 40 年間、 3 年前に禁煙。飲酒は機会飲酒。職業は、18 歳から 22 歳まで大学生のときに建築現場の解体作業のアルバイト、23 歳から 55 歳まで小学校教員、55 歳から 58 歳までタクシー運転手、58 歳から 60 歳まで花屋の店員、60 歳からは植木職人である。
身長 164 cm、体重 66 kg。体温 36.2 ℃。脈拍 68/分、整。血圧 136/72 mmHg。 呼吸数 18/分。SpO₂ 96 %(room air)。 心音に異常を認めない。右胸部の呼吸音減弱を認めるが、副雑音は聴取しない。
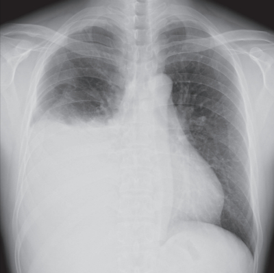
血液所見:赤血球 549万、Hb 16.1 g/dL、Ht 48 %、白血球5,800、血小板 36 万。血液生化学所見:総蛋白 6.6 g/dL、 アルブミン 3.9 g/dL、 総ビリルビン 0.6 mg/dL、AST 22 U/L、ALT 24 U/L、LD 223 U/L(基準 120~245)、 尿素窒素 20 mg/dL、 クレアチニン0.7 mg/dL、Na 138 mEq/L、K 4.7 mEq/L、Cl 105 mEq/L、CEA 3.8 ng/mL(基準 5 以下)。CRP 0.2 mg/dL。胸水中のヒアルロン酸は 150,000 ng/mL と著明な増加を認めた。胸部エックス線写真を別に示す。
この患者の職業歴で、疾患との関係が疑われるのはどれか。
a. 建築現場の解体作業員
b. 小学校教員
c. タクシー運転手
d. 花屋の店員
e. 植木職人
