56 歳の女性。心窩部痛を主訴に来院した。半年前から心窩部に違和感があり、持続するため受診した。 既往歴に特記すべきことはない。
身長 162 cm、体重61 kg。眼瞼結膜に異常を認めない。心音と呼吸音とに異常を認めない。腹部は平坦、軟で、肝・脾を触知しない。
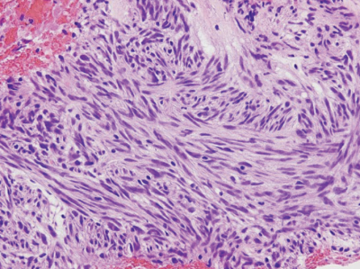
血液所見: 赤血球 399 万、Hb 11.5 g/dL、Ht 35 %、白血球 4,300、血小板 17 万。血液生化学所見:総蛋白 7.2 g/dL、アルブミン 4.1 g/dL、総ビリルビン 0.5 mg/dL、AST 20 U/L、ALT 16 U/L、LD 184 U/L(基準 120~245)、尿素窒素 21 mg/dL、クレアチニン 0.9 mg/dL、血糖 93 mg/dL。CRP 0.2 mg/dL。上部消化管内視鏡像と生検組織像(H-E 染色、KIT 免疫染色、α SMA〈平滑筋アクチン〉免疫染色を別に示す。腹部 CT で腫瘍径は 5.5 cm、他臓器への転移を認めなかった。
対応として適切なのはどれか。
H-E染色像
KIT免疫染色像
αSMA〈平滑筋アクチン〉免疫染色像
a. 経過観察
b. 放射線療法
c. 胃部分切除術
d. 殺細胞性薬による治療
e. 内分泌(ホルモン)薬による治療
 
     
     
    