76 歳の男性。食欲不振と倦怠感を主訴に来院した。
現病歴:1 週間前から倦怠感と水様便( 1 日 2 回~ 4 回)が出現した。食欲がなく、おかゆを無理に食べている。悪心はあるが嘔吐、腹痛、黒色便および血便はない。体重が 3 kg 減少した。37 ℃台の微熱があるが悪寒戦慄はない。
既往歴:高血圧症でカルシウム拮抗薬を内服している。アレルギーなし。
生活歴:妻と 2 人暮らし。喫煙は 20 歳から 40 本/日。飲酒歴はない。
家族歴:兄が 60 歳台で大腸癌。
現症:意識は清明だがややぐったりしている。身長 166 cm、体重 69 kg。体温37.5 ℃。 脈拍 104/分、 整。 血圧 86/50 mmHg。 呼吸数 20/分。SpO₂ 96 %(roomair)。皮膚は乾燥し、色素沈着を認めない。眼瞼結膜と眼球結膜とに異常を認めない。口腔内は乾燥しており咽頭発赤はない。頸静脈の怒張を認めない。甲状腺腫と頸部リンパ節を触知しない。心音と呼吸音とに異常を認めない。腹部は平坦、軟で、圧痛はなく、肝・脾を触知しない。四肢末梢は冷たいがチアノーゼや浮腫を認めない。ばち指を認める。
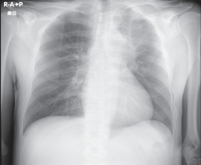
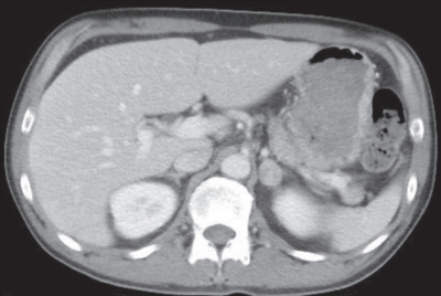
検査所見:尿所見:蛋白(-)、糖(-)、潜血(-)。血液所見:赤血球 437 万、Hb 12.3 g/dL、Ht 34 %、白血球 5,400(好中球 45 %、好酸球 21 %、好塩基球 1 %、単球 9 %、リンパ球 24 %)、血小板 23 万。血液生化学所見:総蛋白 6.3 g/dL、アルブミン 3.7 g/dL、 総ビリルビン 0.5 mg/dL、 直接ビリルビン 0.2 mg/dL、AST 43 U/L、ALT 78 U/L、LD 169 U/L(基準 120~245)、ALP 200 U/L(基準 38~113)、γ-GT 96 U/L(基準 8 ~50)、CK 100 U/L(基準 30~140)、 尿素窒素 11 mg/dL、 クレアチニン 1.0 mg/dL、 尿酸 3.7 mg/dL、 血糖 92 mg/dL、Na 118 mEq/L、K 4.6 mEq/L、Cl 89 mEq/L、Ca 8.4 mg/dL。 血清 浸透圧240 mOsm/L(基準 275~288)、 尿浸透圧 572 mOsm/L(基準 50~1,300)、 尿中Na 84 mEq/L。 胸部エックス線写真と胸腹部造影 CTを別に示す。
この患者の電解質異常の鑑別に有用な検査はどれか。2 つ選べ。
a. プロラクチン
b. ACTH とコルチゾール
c. 副甲状腺ホルモン〈PTH〉
d. レニン・アルドステロン比
e. TSH と遊離サイロキシン〈FT4〉
患者は入院し、電解質補正を行った。気管支鏡検査で肺小細胞癌と診断され、殺細胞性抗癌薬による治療を開始することとなった。
抗癌治療による肝炎の再活性化のリスクが高いのはどれか。
a. A 型肝炎
b. B 型肝炎
c. C 型肝炎
d. D 型肝炎
e. E 型肝炎
治療を行っていたが、がんが再発し全身状態が悪化した。
この患者の意思決定のプロセスとして適切でないのはどれか。
a. 患者の価値観や希望を聞き取る。
b. 病状の変化により話し合いを繰り返す。
c. 患者の意思を代行できる人がいるか聞く。
d. 家族の意向を本人の意向よりも優先する。
e. 病状や予後について患者の理解を確かめる。
