80 歳の女性。左上下肢の脱力を主訴に救急車で搬入された。本日午前 6 時に起床したときから、左上下肢の脱力としゃべりにくさを自覚していたが、様子をみていた。夕方、左上下肢の麻痺が増悪したため救急車を要請した。高血圧症と糖尿病で治療中である。日常生活動作は自立しており、脳血管障害の既往や不整脈の指摘はない。
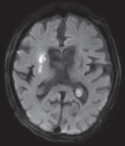
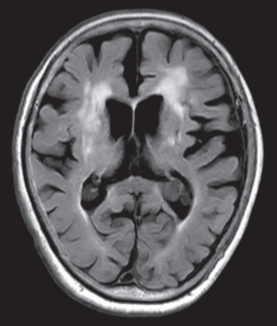
意識は清明。心拍数 82/分、整。血圧 154/82 mmHg。復唱は可能だが構音障害を認める。左顔面を含む左上下肢の不全片麻痺を認めた。来院時の頭部MRIの拡散強調像、FLAIR 像及び MRAを別に示す。
直ちに行うべき治療で適切なのはどれか。2 つ選べ。
a. 抗血小板薬内服
b. 機械的血栓回収療法
c. グリセオール静注療法
d. t-PA〈tissue plasminogen activator〉静注療法
e.直接経口抗凝固薬[direct oral anti coagulant〈DOAC〉]内服
