84 歳の女性。意識障害のため救急車で搬入された。一人暮らしだが、訪れた家族が布団に横たわり呼びかけに応じないのに気付き、救急車を要請した。
意識レベルは JCSⅡ-30。身長 151 cm、体重 48 kg。体温 35.1 ℃。心拍数 40/分、整。血圧 88/40 mmHg。呼吸数 12/分。SpO₂ 92 %(マスク 5 L/分 酸素投与下)。顔面は浮腫状で眉毛の脱失がある。甲状腺腫を触知する。下腿に非圧痕性の浮腫を認める。
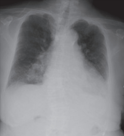
尿所見:蛋白+、糖(-)、潜血(-)。血液所見:Hb 7.2 g/dL。血液生化学所見:総ビリルビン 2.0 mg/dL、AST 98 U/L、ALT 86 U/L、γ-GT 60 U/L(基準 8 ~ 50)、尿素窒素 20 mg/dL、クレアチニン 1.14 mg/dL、Na 128 mEq/L、K 4.8 mEq/L、Cl 98 mEq/L、TSH 197 μU/mL(基準 0.2~4.0)、FT4 0.02 ng/dL(基準 0.8~2.2)。心電図で徐脈と四肢誘導での低電位を認める。胸部エックス線写真を別に示す。
この患者の検査所見として誤っているのはどれか。
a. 抗 TPO 抗体陽性
b. 血清総コレステロール高値
c. TSH 刺激性受容体抗体陽性
d. 抗サイログロブリン抗体陽性
e. 脳性ナトリウム利尿ペプチド〈BNP〉高値
