71 歳の男性。呼吸困難のため救急車で搬入された。1 週間前から発熱と痰の増加を認め、呼吸困難も出現したため救急車を要請した。COPD で自宅近くの診療所に通院中である。
意識は清明。体温 37.3 ℃。心拍数 108/分、整。血 圧110/74 mmHg。呼吸数 24/分。両側の胸部に coarse crackles を聴取する。
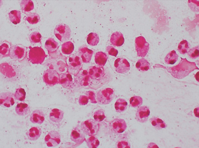
血液所見:白血球 15,890(好中球 91 %、好酸球 0 %、単球 5 %、リンパ球 4 %)。血液生化学所見:総蛋白 7.8 g/dL、アルブミン 4.5 g/dL、AST 14 U/L、ALT 7 U/L、尿素窒素 19 mg/dL、クレアチニン 0.7 mg/dL、Na 141 mEq/L、K 4.1 mEq/L、Cl 97 mEq/L。CRP 13 mg/dL。動脈血ガス分析(鼻カニューラ 3 L/分 酸素投与下):pH 7.42、PaCO₂ 41 Torr、PaO₂63 Torr、HCO₃¯ 27 mEq/L。 胸部 CT で 両肺野に広がる浸潤陰影を認めた。喀痰 Gram 染色標本を別に示す。
この患者に開始すべき抗菌薬はどれか。
a. セファゾリン
b. バンコマイシン
c. クリンダマイシン
d. セフトリアキソン
e. ベンジルペニシリン
