11 歳の男児。右下腹部痛を主訴に母親に連れられて来院した。朝からみぞおち付近の不快感を自覚していたが、学校に登校した。給食後に嘔吐し、腹痛が次第に増強したため受診した。
体温 38.5 ℃。脈拍 108/分、整。血圧 118/62 mmHg。呼吸数 22/分。SpO₂ 99 %(room air)。心音と呼吸音とに異常を認めない。腹部は右下腹部に限局した圧痛を認め、筋性防御を認める。
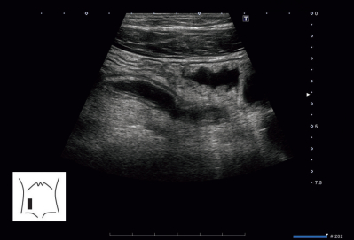
血液所見:赤血球 430 万、Hb 12.6 g/dL、Ht 40 %、白血球 13,500、血小板 25 万。血液生化学所見:総蛋白6.8 g/dL、アルブミン 4.0 g/dL、AST 20 U/L、ALT 10 U/L、尿素窒素 12 mg/dL、クレアチニン 0.5 mg/dL、Na 140 mEq/L、K 4.0 mEq/L、Cl 102 mEq/L。CRP 8.2 mg/dL。腹部超音波像を別に示す。
この患者で予測される身体所見はどれか。
a. Dance 徴候
b. Murphy 徴候
c. Rosenstein 徴候
d. Courvoisier 徴候
e. Grey-Turner 徴候
