医師免許申請用診断書

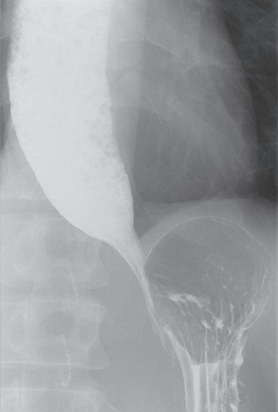
40歳の女性。嚥下困難と嘔吐とを主訴に来院した。35歳を過ぎたころから前胸部に食物のつかえを感じるようになった。1年前から食物がつかえたときにお茶で流し込むことが月に2回程度あった。最近、食後に嘔吐するようになったため受診した。吐物はほとんど飲み込んだ食物であり体重減少はない。

上部消化管造影像を別に示す。

考えられるのはどれか。

a. 食道癌

b. 食道憩室

c. 逆流性食道炎

d. 食道アカラシア

e. 食道裂孔ヘルニア

解答を見る

過去問チャートは、医療系国家試験の過去問をテーマ別に整理・解説した無料の学習サービスです。
※公式問題・正答は厚生労働省公開資料をもとに整理しています。


システム設計・解説記入:米澤 昌紘(X : @leknyan
(医師/日本橋内科クリニック院長)