72 歳の女性。意識障害のため救急車で搬入された。10 日前から 38 ℃台の発熱が出現し、4 日前から健忘が目立つようになった。今朝、呼びかけに反応が悪いため家族が救急車を要請した。60 歳台から糖尿病で内服治療中である。
意識レベルは JCSⅡ-10。体温 38.4 ℃。心拍数 96/分、整。血圧 142/88 mmHg。呼吸数 24/分。SpO2 98 %(リザーバー付マスク 10 L/分 酸素投与下)。胸部聴診で両肺に rhonchiを聴取する。項部硬直を軽度に認める。腱反射は全般に低下しており、Babinski徴候は陰性である。
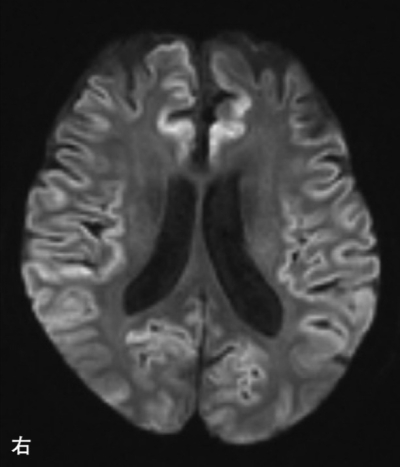
血液所見:赤血球 398 万、白血球 6,500。血液生化学所見:血糖 179 mg/dL、HbA1c 8.2 %(基準 4.6〜6.2)。免疫血清学所見:CRP 4.3 mg/dL、Tリンパ球 CD4/CD8 比 1.9(基準 0.6〜2.9)、β-D-グルカン 5.0 pg/mL(基準 10以下)。ツベルクリン反応陰性。脳脊髄液所見:初圧 320 mmH2O 基準 70〜170)、細胞数 86/mm3 (基準0〜2) (単核球 58、多形核球 28)、蛋白 195 mg/dL(基準15〜45)、糖 3 mg/dL(基準 50〜75)。脳脊髄液の細胞診は陰性。脳脊髄液の染色標本、肺野条件の胸部CT及び頭部MRI の拡散強調像を別に示す。
治療薬はどれか。
a. アシクロビル
b. アムホテリシン B
c. 副腎皮質ステロイド
d. 免疫グロブリン製剤
e. ベンジルペニシリン<ペニシリン G>
