医師免許申請用診断書

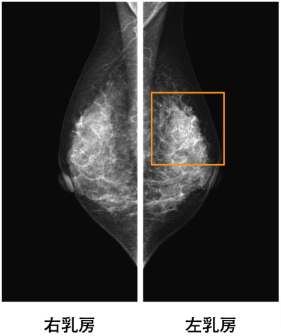
61 歳の女性。乳がん検診のマンモグラフィで異常を指摘されたため来院した。左右の乳房に腫瘤を触知しない。乳房超音波検査で不整形、境界不明瞭で内部に点状の高エコースポットを伴う低エコー領域を認める。マンモグラムを別に示す。

次に行うのはどれか。

a. FDG-PET

b. 乳房 MRI

c. 胸腹部 CT

d. 経皮的針生検

e. 骨シンチグラフィ

解答を見る

過去問チャートは、医療系国家試験の過去問をテーマ別に整理・解説した無料の学習サービスです。
※公式問題・正答は厚生労働省公開資料をもとに整理しています。


システム設計・解説記入:米澤 昌紘(X : @leknyan
(医師/日本橋内科クリニック院長)