72 歳の女性。発熱と歩行障害とを主訴に来院した。1か月前から 38 ℃を超える発熱が持続し、抗菌薬を内服しても軽快しなかった。体重が3か月で4kg 減少した。2週間前から左手の小指がジンジンするようになり、1週間前から右足趾にも同様の症状が出現するとともに右足が下垂してきたため受診した。
意識は清明。身長 148 cm、体重 38 kg。体温 37.7 ℃。脈拍 96/分、整。血圧 138/84 mmHg。呼吸数 18/分。心音と呼吸音とに異常を認めない。上肢の筋力は正常で、右前脛骨筋と長母趾伸筋の筋力は徒手筋力テストでである。左尺骨神経領域と右総腓骨神経領域とに全感覚低下を認める。
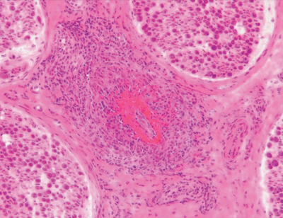
尿所見:蛋白 2+、糖 (-)、潜血 3+、沈渣に赤血球 50〜100/1視野、硝子円柱 1/数視野、尿蛋白 2.5 g/日。血液所見:赤血球 340 万、Hb 9.5 g/dL、Ht 32 %、白血球 17,700 (桿状核好中球 1 %、分葉核好中球 88 %、好酸球 1 %、好塩基球 1 %、単球 2 %、リンパ球 7 %)、血小板 16 万。血液生化学所見:総蛋白 5.0 g/dL、アルブミン 3.4 g/dL、尿素窒素 44 mg/dL、クレアチニン 2.6 mg/dL。CRP 14 mg/dL。右腓腹神経生検の H-E 染色標本を別に示す。
診断に最も有用なのはどれか。
a. 抗 ARS 抗体
b. MPO-ANCA
c. 抗セントロメア抗体
d. 抗ガングリオシド抗体
e. 抗ミトコンドリア抗体
