10 歳の男児。発熱のため父親に連れられて来院した。5か月時に慢性肉芽腫症と診断された。5日間にわたる発熱と食欲不振が改善しないため受診した。
意識は清明。身長 134 cm、体重 29 kg。体温 38.2 ℃。脈拍 80/分、整。血圧 90/50 mmHg。SpO2 99 %(room air)。咽頭は発赤を認めない。心音と呼吸音とに異常を認めない。腹部は平坦、軟で、肝・脾を触知しない。右季肋部に叩打痛を認める。
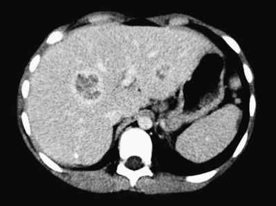
血液所見:赤血球 395 万、Hb 10.5 g/dL、Ht 32 %、白血球 10,200(桿状核好中球19 %、分葉核好中球 43 %、好酸球 4 %、好塩基球 1 %、単球 6 %、リンパ球 27 %)、血小板 46 万。血液生化学所見:総蛋白 7.3 g/dL、アルブミン 3.6 g/dL、総ビリルビン 0.3 mg/dL、AST 28 U/L、ALT 22 U/L、LD 240 U/L(基準 254〜544)、ALP 550 U/L (基準 359〜1,110)、尿素窒素 10 mg/dL、Na 135 mEq/L、K4.5 mEq/L、Cl 102 mEq/L。CRP 11 mg/dL。腹部造影 CTを別に示す。
考えられるのはどれか。
a. 肝囊胞
b. 肝膿瘍
c. 肝芽腫
d. 肝血管腫
e. 肝脂肪腫
