50歳の男性。咳嗽を主訴に来院した。2か月前から咳嗽があり、他院で肺炎と診断され抗菌薬を処方されたが改善しないため受診した。喫煙は 40 本/日を 30年間。
意識は清明。身長 175 cm、体重 78 kg。体温 36.5 ℃。脈拍 88/分、整。血圧 126/80 mmHg。呼吸数 15/分。SpO2 96 %(room air)。心音と呼吸音とに異常を認めない。
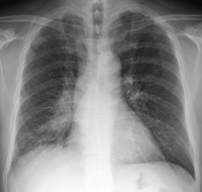
血液所見:赤血球 508 万、Hb 14.8 g/dL、白血球 5,600、血小板 25 万。 血液生化学所見:総ビリルビン 0.6 mg/dL、AST 10 U/L、ALT 21 U/L、LD 425 U/L(基準 176〜353)、尿素窒素 14 mg/dL、クレアチニン 1.2 mg/dL、CEA 2.9 ng/mL(基準 5.0 以下)、SCC 1.2 ng/mL(基準 1.5 以下)、ProGRP 350 pg/mL(基準 81 以下)。CRP 0.3 mg/dL。胸部エックス線写真と胸部CTとを示す。気管支鏡下生検で肺癌と診断された。
肺癌の組織型として最も可能性が高いのはどれか。
a. 大細胞神経内分泌癌
b. 扁平上皮癌
c. 小細胞癌
d. 大細胞癌
e. 腺癌
