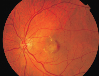
75歳の男性。3か月前から徐々に左眼の視力低下をきたし、中心暗点も自覚するようになったため来院した。視力は右 0.1(1.0 × -1.5D)、左 0.1(0.2 × -2.0D)。左眼の眼底写真と光干渉断層計(OCT)像とを示す。
この疾患のリスクファクターはどれか。
a. 喫煙
b. 紫外線
c. 糖尿病
d. 緑内障手術既往
e. 大量アルコール摂取
75歳の男性。3か月前から徐々に左眼の視力低下をきたし、中心暗点も自覚するようになったため来院した。視力は右 0.1(1.0 × -1.5D)、左 0.1(0.2 × -2.0D)。左眼の眼底写真と光干渉断層計(OCT)像とを示す。
この疾患のリスクファクターはどれか。
a. 喫煙
b. 紫外線
c. 糖尿病
d. 緑内障手術既往
e. 大量アルコール摂取
過去問チャートは、医療系国家試験の過去問をテーマ別に整理・解説した無料の学習サービスです。
※公式問題・正答は厚生労働省公開資料をもとに整理しています。
システム設計・解説記入:米澤 昌紘(X : @leknyan)
(医師/日本橋内科クリニック院長)