29歳の女性。発熱と左上肢の倦怠感とを主訴に来院した。2週間前から37℃台の発熱が続いていた。市販の感冒薬を内服していたが、改善しなかった。7日前から左上肢の倦怠感を自覚するようになった。3日前から発熱が 38 ℃台となったため受診した。
体温 38.1 ℃。脈拍 88/分、整。血圧:右上肢 92/46 mmHg、左上肢64/34 mmHg。呼吸数 16/分。左頸部に血管雑音を聴取する。橈骨動脈の触知に左右差があり、左が減弱している。心音と呼吸音とに異常を認めない。腹部は平坦、軟で、肝・脾を触知しない。圧痛を認めない。皮疹を認めない。尿所見に異常を認めない。
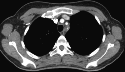
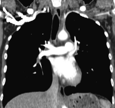
血液所見:赤血球 403 万、Hb 10.0 g/dL、Ht 30 %、白血球 10,900 (桿状核好中球 28 %、分葉核好中球 47 %、好酸球 1%、好塩基球 1%、単球 7%、リンパ球 16%)、血小板 46 万。血液生化学所見:尿素窒素 13 mg/dL、クレアチニン 0.5 mg/dL。免疫血清学所見:CRP 11 mg/dL、抗核抗体陰性、リウマトイド因子<RF>陰性。胸部造影 CT の水平断像及び冠状断像を別に示す。
最も考えられるのはどれか。
a. Behçet 病
b. 悪性関節リウマチ
c. 結節性多発動脈炎
d. 顕微鏡的多発血管炎
e. 高安動脈炎<大動脈炎症候群>
