20歳の男性。右足関節の変形と疼痛のため救急車で搬入された。会社員で、サッカーのクラブチームに所属している。サッカーの試合中に他の選手と接触して受傷し、歩行困難となったため救急車を要請した。受傷時の足関節の肢位は不明であった。既往歴、生活歴、家族歴に特記すべきことはない。
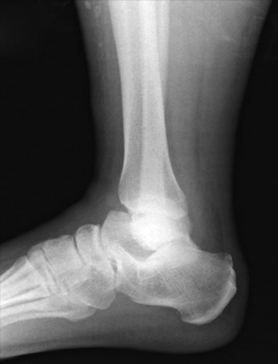
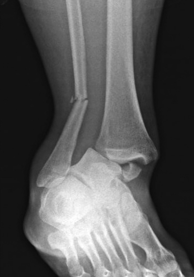
搬入時(受傷2時間後)の意識は清明。体温 36.9 ℃、心拍数 100/分、整。血圧 124/76 mmHg。呼吸数 14/分。SpO2 100 %(鼻カニューラ 1L/分酸素投与下)。右足関節全体に腫脹と圧痛を認める。右足関節周囲に開放創はない。足背動脈は左右差なく触知可能であり、右足趾の自動屈曲伸展運動は可能で、感覚に異常を認めない。右足関節以外に異常を認めない。右足関節単純エックス線写真を別に示す。
初期対応として適切なのはどれか。
a. テーピング固定
b. 抗菌薬投与
c. 血行再建
d. 大量輸液
e. 整復
