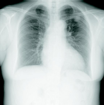
67 歳の女性。健康診断で胸部エックス線写真の異常陰影を指摘され、精査目的に来院した。喫煙歴は 25 本/日を 47 年間。
体温 36.4 ℃。脈拍 64/分、整。血圧124/76 mmHg。呼吸数 16/分。SpO₂ 97 %(room air) 。胸部 CT で異常を認めたため、気管支鏡下に擦過細胞診を施行した。胸部エックス線写真、胸部 CT及び擦過細胞診の Papanicolaou 染色標本を別に示す。
診断はどれか。
a. 腺癌
b. 小細胞癌
c. 大細胞癌
d. 扁平上皮癌
e. カルチノイド
