医師免許申請用診断書

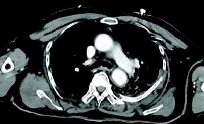
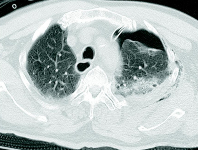
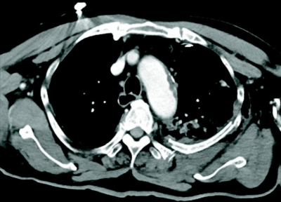
83 歳の男性。作業中に3 mの高さから転落し、背部痛と呼吸困難のため救急車で搬入された。胸腔ドレナージ後の胸部造影 CTを別に示す。

画像所見として認められるのはどれか。3つ選べ。

a. 気胸

b. 肺挫傷

c. 気管断裂

d. 縦隔気腫

e. 肋骨骨折

解答を見る

過去問チャートは、医療系国家試験の過去問をテーマ別に整理・解説した無料の学習サービスです。
※公式問題・正答は厚生労働省公開資料をもとに整理しています。


システム設計・解説記入:米澤 昌紘(X : @leknyan
(医師/日本橋内科クリニック院長)