13歳の女子。発熱と咳嗽を主訴に母親に連れられて来院した。4日前から発熱と咳嗽が出現し持続したため受診した。
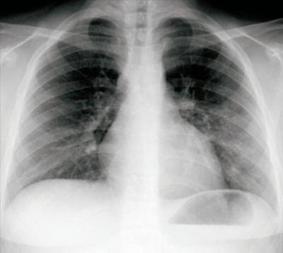
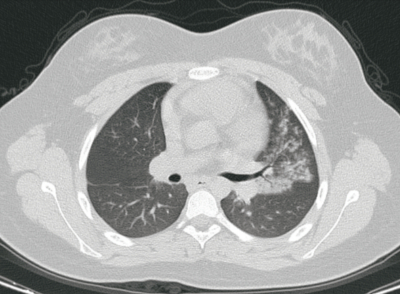
身長 154 cm、体重 69 kg。体温 38.6 ℃。脈拍 100/分、整。血圧 116/76 mmHg。呼吸数 20/分。SpO₂ 98 % (room air)。咽頭は軽度発赤を認める。心音に異常を認めない。左側の胸部中央部にcoarse cracklesを聴取する。
血液所見:赤血球 508万、Hb 14.3 g/dL、Ht 41 %、白血球 5,300(好中球 45 %、好酸球 2 %、好塩基球 1 %、単球 10 %、リンパ球 42 %)、血小板 30万。血液生化学所見:AST 22 U/L、ALT 24 U/L、LD 238 U/L(基準 120-245)。CRP 3.6 mg/dL。新型コロナウイルス〈SARS-CoV-2〉PCR検査は陰性であった。胸部エックス線写真及び肺野条件の胸部CTを別に示す。
次の中で最も疑う感染症はどれか。
a. 風疹
b. 麻疹
c. アスペルギルス感染症
d. マイコプラズマ感染症
e. サイトメガロウイルス感染症
