81歳の男性。呼吸困難のため救急車で搬入された。自宅近くの診療所でCOPDと診断され、気管支拡張薬による治療を受けていた。本日午前2時頃から呼吸困難が出現し、鼻カニューラで0.5L/分の酸素を投与されながら午前8時に救急搬送された。
意識は清明。体温38.3℃。心拍数72/分、整。血圧128/64mmHg。呼吸数16/分。聴診で両側呼吸音の減弱を認める。
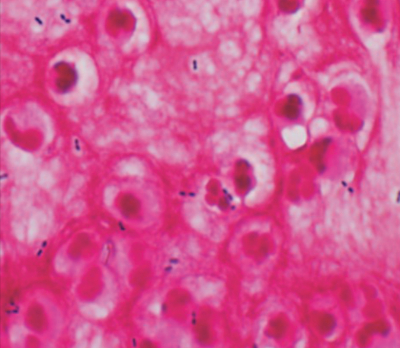
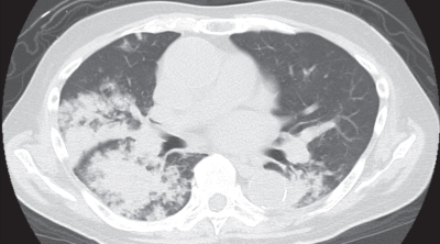
血液所見:白血球9,800(好中球91%、好酸球0%、単球5%、リンパ球4%)。CRP 4.0mg/dL。動脈血ガス分析(鼻カニューラ0.5L/分 酸素投与下):pH 7.33、PaCO2 58Torr、PaO2 62Torr、HCO3- 30mEq/L。肺野条件の胸部CTと喀痰Gram染色標本を別に示す。
まず行うべきなのはどれか。
a. 原因菌のワクチンを接種する。
b. 非侵襲的陽圧換気を開始する。
c. 鼻カニューラの酸素流量を増やす。
d. 呼吸リハビリテーションを開始する。
e. アミノグリコシド系抗菌薬を投与する。
