50歳の女性。腹痛と嘔吐を主訴に来院した。前夜焼肉を食べ5時間ほどしてから腹痛が出現し、2度嘔吐したため受診した。
意識は清明。身長 162 cm、体重 58 kg。体温 37.8 ℃。脈拍 96/分、整。血圧 164/92 mmHg。眼瞼結膜と眼球結膜に異常を認めない。心音と呼吸音に異常を認めない。腹部は平坦だが、右上腹部を圧迫したまま深吸気をさせると痛みのために呼吸が止まってしまう。
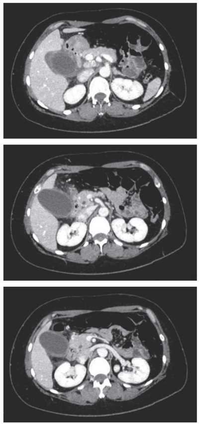
血液所見:赤血球 490万、Hb 15.9 g/dL、Ht 45%、白血球 14,500、血小板 19万。血液生化学所見:総蛋白 6.6 g/dL、アルブミン 3.9 g/dL、総ビリルビン 0.9 mg/dL、AST 32 U/L、ALT 46 U/L、LD 143 U/L(基準 120~245)、ALP 112 U/L(基準38~113)、γ-GT 128U/L(基準8~50)、アミラーゼ 54 U/L(基準 37~160)、尿素窒素 13.5 mg/dL、クレアチニン 0.7 mg/dL、血糖 166 mg/dL、Na 137 mEq/L、K 3.6 mEq/L、Cl 103 mEq/L。CRP 1.4 mg/dL。来院時の腹部造影CTを別に示す。
診断はどれか。
a. 急性胆管炎
b. 急性胆嚢炎
c. 胆嚢腺筋症
d. 胆嚢捻転症
e. 慢性胆嚢炎
