23歳の男性。胸痛を主訴に来院した。
現病歴:朝、通勤中に突然胸痛が出現した。駅のベンチで休息すると少し改善したため歩きかけたが、呼吸困難感も出現したため救急搬送された。
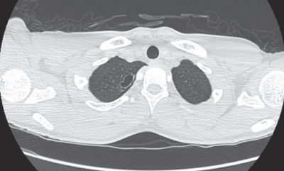
既往歴:2か月前に労作時の息切れが急に出現し軽快したが、心配になり受診した。自宅近くの病院で胸部CTを施行された。その時の胸部単純CTを別に示す。
生活歴:高校、大学と硬式野球部で、現在も社会人チームに所属している。仕事の都合で毎月数回は飛行機で出張している。
家族歴:母親が脂質異常症で内服加療中である。
現症:意識は清明。身長 178 cm、体重 65 kg。脈拍 120/分、整。血圧 110/80 mmHg。呼吸数 28/分。SpO2 95%(room air)。心音に異常を認めない。
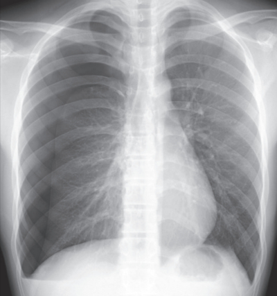
検査所見:血液所見:赤血球 480万、Hb 15.0 g/dL、Ht 45%、白血球 7,800、血小板 26万。血液生化学所見:AST 32 U/L、ALT 36 U/L、LD 280 U/L(基準 120~245)。来院時の胸部エックス線写真を別に示す。
2か月前
来院時
この患者で認められる所見はどれか。
a. ばち指
b. チアノーゼ
c. 呼気の延長
d. 患側の打診上濁音
e. 患側の呼吸音減弱
この患者に対して行うべき処置はどれか。
a. 昇圧薬投与
b. 気管支鏡検査
c. 胸腔ドレナージ
d. 緊急胸腔鏡下手術
e. 人工呼吸器による陽圧呼吸
