医師免許申請用診断書

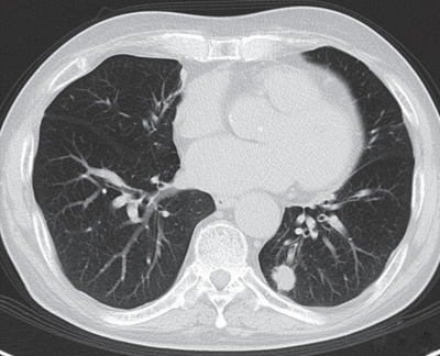
79歳の男性。肺がん検診で胸部異常陰影を指摘され来院した。昨年の検診では異常は指摘されず、自覚症状はない。精査の結果、臨床病期IA期の左下葉肺腺癌と診断された。最大腫瘍径は2.0cmであった。本人の希望で放射線治療を行うこととした。胸部CTを別に示す。

治療に伴う合併症として考えられるのはどれか。

a. 肺炎

b. 心肥大

c. 乳び胸

d. 上肢浮腫

e. 反回神経麻痺

解答を見る

過去問チャートは、医療系国家試験の過去問をテーマ別に整理・解説した無料の学習サービスです。
※公式問題・正答は厚生労働省公開資料をもとに整理しています。


システム設計・解説記入:米澤 昌紘(X : @leknyan
(医師/日本橋内科クリニック院長)