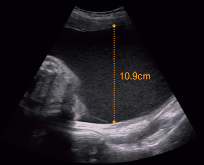
38 歳の初妊婦。妊娠 24 週に急激な腹囲の増大と体重増加を主訴に来院した。体外受精 - 胚移植〈IVF-ET〉で妊娠した。妊娠初期の超音波検査で 1 絨毛膜 2 羊膜性双胎と診断されている。超音波検査で両児間の推定体重に差を認めない。 1 児の最大羊水深度を計測した超音波像と両児間の隔壁を示す超音波像を別に示す。
第 1 児について正しいのはどれか。2 つ選べ。
a. 貧血になっている。
b. 高血糖になっている。
c. 腎血流が増加している。
d. 胎児発育不全になりやすい。
e. うっ血性心不全になっている。
