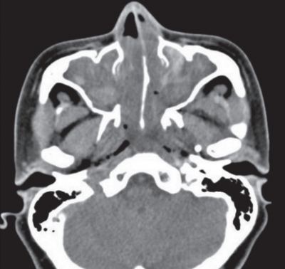
48 歳の女性。鼻閉を主訴に来院した。数年前から鼻閉と嗅覚低下があり、風邪をひくと悪化した。鎮痛薬で気管支喘息を起こしたことがあった。左鼻腔の内視鏡像を別に示す。右鼻腔も同様の所見である。副鼻腔単純 CT の水平断像と冠状断像を別に示す。
治療として最も適切なのはどれか。
a. 減感作療法
b. 抗真菌薬投与
c. 抗ウイルス薬投与
d. 拡大上顎全摘出術
e. 内視鏡下鼻副鼻腔手術
48 歳の女性。鼻閉を主訴に来院した。数年前から鼻閉と嗅覚低下があり、風邪をひくと悪化した。鎮痛薬で気管支喘息を起こしたことがあった。左鼻腔の内視鏡像を別に示す。右鼻腔も同様の所見である。副鼻腔単純 CT の水平断像と冠状断像を別に示す。
治療として最も適切なのはどれか。
a. 減感作療法
b. 抗真菌薬投与
c. 抗ウイルス薬投与
d. 拡大上顎全摘出術
e. 内視鏡下鼻副鼻腔手術
慢性副鼻腔炎の症例。
内視鏡下鼻副鼻腔手術は、慢性副鼻腔炎や鼻茸に対して広く行われる治療法で、症状の改善と機能の回復を目的としている。
内視鏡を使用することで副鼻腔内の病変に直接アクセスし、鼻茸の除去や排液の改善を行う。
過去問チャートは、医療系国家試験の過去問をテーマ別に整理・解説した無料の学習サービスです。
※公式問題・正答は厚生労働省公開資料をもとに整理しています。
システム設計・解説記入:米澤 昌紘(X : @leknyan)
(医師/日本橋内科クリニック院長)