76 歳の女性。悪心と嘔吐を主訴に来院した。 3 か月前から悪心を自覚していた。その後嘔吐がはじまり、食事を摂取しなくても嘔吐するようになったため受診した。既往歴に特記すべきことはない。喫煙歴と飲酒歴はない。
身長 150 cm、体重 37 kg。脈拍 68/分、整。血圧110/60 mmHg。呼吸数 14/分。上腹部正中に径10 cm の辺縁不整な腫瘤を触知する。
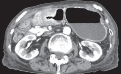
血液所見:赤血球 392 万、Hb 10.9 g/dL、Ht 36 %、白血球 4,100、血小板 22 万。血液生化学所見:総蛋白 5.8 g/dL、アルブミン 3.2 g/dL、総ビリルビン 0.5 mg/dL、AST 22 U/L、ALT 8 U/L、γ-GT 11 U/L(基準 8 ~50)、尿素窒素 22 mg/dL、クレアチニン 0.8 mg/dL、Na 131 mEq/L、K 3.4 mEq/L、Cl 96 mEq/L、CEA 16.4 ng/mL(基準 5 以下)、CA19-9 180 U/mL(基準 37 以下)。腹部造影 CTを別に示す。幽門狭窄を伴う胃癌と診断し、10 日間の栄養投与後に手術を行うこととした。
手術までの栄養方法として適切なのはどれか。
a. 末梢静脈栄養
b. 栄養補助食品の経口摂取
c. 経鼻胃管による経腸栄養
d. アルブミン製剤の静脈投与
e. 中心静脈栄養による高カロリー輸液
