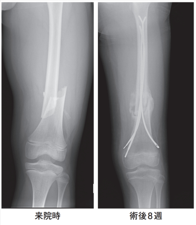
10 歳の男児。左大腿部痛を主訴に父親に連れられて来院した。すべり台から誤って転落し受傷した。
身長 150 cm、体重 45 kg。歩行は不能で左大腿部に腫脹を認めた。左大腿骨エックス線写真で大腿骨骨幹部骨折を認め、受傷翌日、観血的骨接合術が行われた。術後経過は順調で、術後 8 週が経過し、左大腿部に異常所見を認めない。来院時と術後 8 週の左大腿骨エックス線写真を別に示す。
術後 8 週の骨折部の状態で正しいのはどれか。
a. 骨腫瘍が発生している。
b. 仮骨が形成されている。
c. 腐骨が形成されている。
d. 異所性骨化が生じている。
e. 阻血性壊死が生じている。
