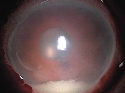
78歳の男性。左眼の眼痛と視力低下とを主訴に来院した。3日前に日帰りで左眼の白内障手術を自宅近くの眼科診療所で受けた。2日前の手術翌日の受診時、視力は左 0.8(1.2×-1.0 D)と術後経過は良好で、手術後に処方された点眼を続けるように言われたが、その日の夜から左眼の霧視を自覚するようになった。昨日から左眼痛も出現したため、手術を受けた診療所から紹介されて受診した。左眼の前眼部写真を別に示す。
適切な治療はどれか。2つ選べ。
a. 縮瞳薬点眼
b. 抗菌薬点滴静注
c. ステロイドパルス療法
d. 周辺虹彩切除術
e. 硝子体手術
