76歳の男性。発熱と右季肋部痛とを主訴に来院した。昨日から右季肋部痛が出現し、今朝まで持続している。
体温 38.1 ℃。血圧 124/86 mmHg。眼球結膜に黄染を認める。腹部は平坦、軟で、肝・脾を触知しない。右季肋部に圧痛を認める。
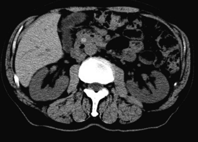
血液所見:白血球 17,600。血液生化学所見:総ビリルビン 6.9 mg/dL、直接ビリルビン 4.2 mg/dL、AST 371 U/L、ALT 297 U/L、ALP 531 U/L(基準 115〜359)、γ-GTP 237 U/L(基準 8〜50)、アミラーゼ 52 U/L(基準 37〜160)。CRP 16 mg/dL。腹部超音波検査で胆囊壁に異常を認めない。腹部CTを別に示す。
適切な対応はどれか。2つ選べ。
a. 抗菌薬投与
b. 経口胆石溶解薬投与
c. 膵頭十二指腸切除術
d. 内視鏡的胆道ドレナージ
e. 蛋白分解酵素阻害薬投与
