68歳の女性。易疲労感と咳嗽とを主訴に来院した。6か月前から左上葉肺癌で抗癌化学療法と放射線療法とを受けていた。2か月前に治療は終了し経過観察されている。2週間前から易疲労感と乾性咳嗽があり、次第に悪化したため受診した。
身長 160 cm、体重 58 kg。体温 36.6 ℃。脈拍 88/分、整。血圧 126/80 mmHg。呼吸数 18/分。SpO2 96 %(room air)。眼瞼結膜は軽度貧血様である。心音に異常を認めないが、左胸部で気管支呼吸音と軽度の wheezes を聴取する。
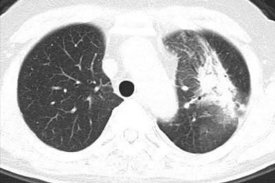
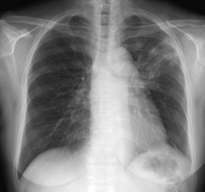
血液所見:赤血球 389 万、Hb 10.2 g/dL、Ht 32 %、白血球 5,800、血小板 25 万。血液生化学所見:総蛋白 6.7 g/dL、アルブミン 3.7 g/dL、総ビリルビン 0.3 mg/dL、AST 16 U/L、ALT 13 U/L、LD 273 U/L (基準 176〜353) 、クレアチニン 0.9 mg/dL、Na 143 mEq/L、K 4.4 mEq/L、Cl 105 mEq/L、CEA 4.8 ng/mL(基準5以下)。CRP 1.3 mg/dL。胸部エックス線写真と肺野条件の胸部CTとを別に示す。
最も考えられるのはどれか。
a. 癌性リンパ管症
b. 放射線肺炎
c. 細菌性肺炎
d. 肺水腫
e. 膿胸
