13 歳の女子。下肢の浮腫を主訴に母親に連れられて来院した。半年前の学校検尿で蛋白尿と尿潜血とを指摘され、近くの小児科で専門医療機関の受診を勧められていたが、自覚症状がないため受診していなかった。
身長 154 cm、体重 53 kg。脈拍 72/分、整。血圧 114/60 mmHg。
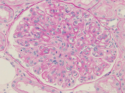
尿所見:蛋白3+、潜血2+、沈渣に赤血球 10〜29/1視野、脂肪円柱3/1視野、尿蛋白 3.8 g/日。血液所見:赤血球 510 万、Hb 16.9 g/dL、Ht 48 %、白血球 9,600、血小板 25 万。血液生化学所見:総蛋白 5.1 g/dL、アルブミン 3.0 g/dL、IgA 280 mg/dL(基準 110〜410)、尿素窒素 10 mg/dL、クレアチニン 0.5 mg/dL、尿酸 4.5 mg/dL、総コレステロール 260 mg/dL。C3 18 mg/dL(基準 52〜112)。腎生検の PAS 染色標本と蛍光抗体 C3 染色標本とを別に示す。
この患者の診断はどれか。
a. IgA 腎症
b. 巣状分節性糸球体硬化症
c. 微小変化群
d. 膜性腎症
e. 膜性増殖性糸球体腎炎
