36 歳の男性。右眼の充血と視力低下とを主訴に来院した。3年前から時々難治性の口内炎が出現していた。1年前からしばしば右眼の霧視が出現するようになったが2週間程度で回復するため気にしていなかった。3日前から霧視に加えて視力低下が出現したため受診した。
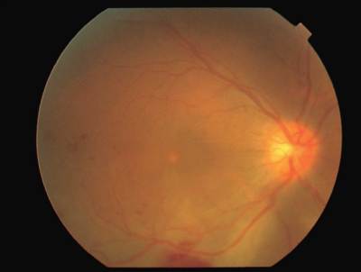
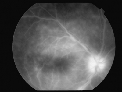
視力は右 0.1(0.2× -2.5 D)、左 0.1(1.0× -2.0D)。右眼の前眼部写真、眼底写真及び蛍光眼底造影写真を別に示す。
診断に有用な検査はどれか。2つ選べ。
a. 聴力検査
b. 針反応試験
c. 硝子体生検
d. ツベルクリン反応
e. 組織適合抗原<HLA>検査
