59歳の男性。労作時の呼吸困難を主訴に来院した。3年前から労作時の呼吸困難があったがそのままにしていた。健診で胸部の異常陰影を指摘されたため、心配になり受診した。
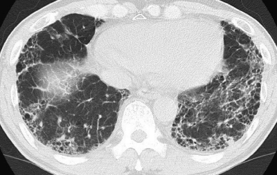
身長 172 cm、体重 70 kg。体温 36.3 ℃。脈拍 80/分、整。血圧 128/84 mmHg。呼吸数 18/分。SpO2 95 %(room air)。心音に異常を認めない。呼吸音は正常だが、両側の背部に fine crackles を聴取する。胸部エックス線写真と胸部CTとを示す。
別に示す flow-volume 曲線①〜⑤のうち、この患者で予想されるのはどれか。
a. ①
b. ②
c. ③
d. ④
e. ⑤
