62歳の女性。頭痛を主訴に来院した。4日前の起床時に突然の頭痛が生じた。臥床して様子をみていたが頭痛が持続したため、3日前に自宅近くの診療所を受診し、鎮痛薬を処方された。しかし、その後も頭痛が改善しないため受診した。
意識は清明。身長 157 cm、体重 54 kg。体温 36.6 ℃。脈拍 88/分、整。血圧 118/82 mmHg。呼吸数 16/分。項部硬直を認める。
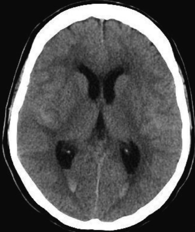
血液所見:赤血球 362 万、Hb 11.2 g/dL、Ht 44 %、白血球 9,800(桿状核好中球 12 %、分葉核好中球 46 %、好酸球 1 %、好塩基球 1 %、単球 2 %、リンパ球 38 %)、血小板 21 万。血液生化学所見:総蛋白 7.5 g/dL、アルブミン 4.8 g/dL、尿素窒素 9 mg/dL、クレアチニン 0.6 mg/dL。CRP 3.4 mg/dL。頭部CTを示す。
次に行うべき検査はどれか。
a. 脳波
b. 脳血管造影検査
c. 脳脊髄液培養検査
d. 頭部MRI拡散強調像撮像
e. インフルエンザウイルス迅速抗原検査
