70 歳の女性。突然の胸背部痛と呼吸困難のため救急車で搬入された。洗濯物を干していたとき、突然、激烈な胸背部痛を自覚した。発症 10 分後くらいから息苦しさが出現し、喘鳴も生じてきたため救急車を要請した。
意識レベルは JCSⅡ-10。心拍数 110/分、整。血圧は 76/38 mmHg で左右差を認めない。呼吸数 24/分。SpO₂ 94 %(リザーバー付マスク 10 L/分酸素投与下)。冷汗を認め、皮膚は湿潤している。両側胸部に coarse crackles を聴取する。胸骨左縁第3肋間を最強とするⅢ/Ⅵの拡張期雑音を認める。
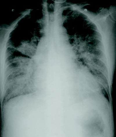
血液所見:赤血球 350 万、Hb 11.6 g/dL、Ht 39 %、白血球 9,600、血小板 21 万。血液生化学所見:AST 30 U/L、ALT 26 U/L、尿素窒 素 14 mg/dL、クレアチニン 0.6 mg/dL、血糖 99 mg/dL、Na 136 mEq/L、K3.8 mEq/L、Cl 100 mEq/L。心電図では明らかな ST-T 変化は認めない。胸部エックス線写真及び心エコー図を別に示す。
適切な対応はどれか。
a. 緊急手術
b. 降圧薬投与
c. 胸腔ドレナージ
d. 経皮的冠動脈形成術
e. 大動脈内バルーンパンピング<IABP>挿入
