80 歳の女性。失神のため救急車で搬入された。
現病歴 :1か月前から咳が出現し、5 m 歩行しても息切れするようになった。発熱や喀痰、胸痛はなく、体重が1か月で3kg 増加した。本日、自宅の居間で倒れているのを家族が発見し、救急車を要請した。救急隊到着時には意識はすでに回復し清明であった。
既往歴 : 高血圧症および不眠症があり、降圧薬と睡眠薬を内服中である。
アレルギー歴 : 特記すべきことはない。
生活歴 : 喫煙歴と飲酒歴はない。認知機能は正常で介護保険サービスは利用していない。夫とは8年前に死別し、現在は息子夫婦および孫3人と同居している。
家族歴 : 突然死や心疾患はなく、姉は 70 歳時に乳癌で死亡した。
現症 : 意識は清明。身長 154 cm、体重 49 kg。体温 35.9 ℃。心拍数 80/分、 整。血圧 100/78 mmHg。呼吸数 22/分。SpO₂ 98 %(マスク6L/分酸素投与下)。眼 瞼結膜は貧血を認めず、眼球結膜に黄染を認めない。頸部リンパ節腫脹および甲状腺腫大を認めない。心音は胸骨右縁第2肋間を最強点とするⅢ/Ⅵの収縮期駆出性雑音を聴取し、頸部への放散を認める。呼吸音は両側胸部に coarse crackles を聴取する。腹部は平坦、軟で、肝・脾を触知しない。両側下腿に軽度の圧痕性浮腫を認める。神経診察で異常を認めない。
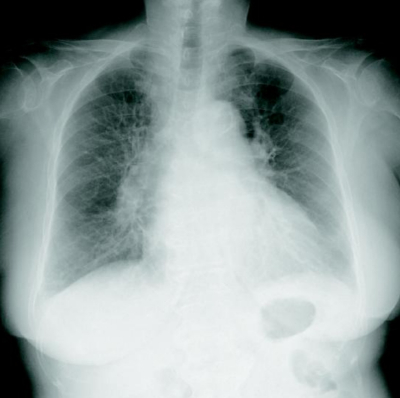
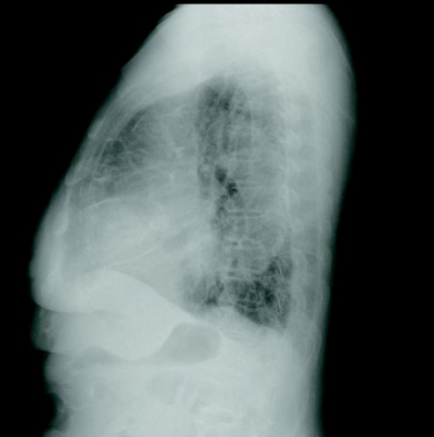
検査所見 : 尿所見:蛋白:(-)、糖:(-)、ケトン体:(-)、潜血:(-)。血液所見:赤血球 444 万、Hb 13.5 g/dL、Ht 41 %、白血球 6,900(好中球 65 %、好酸球2%、好塩基球0%、単球4%、リンパ球 29 %)、血小板 22 万。血液生化学所見:総ビリルビン 0.5 mg/dL、AST 21 U/L、ALT 18 U/L、LD 175 U/L(基準 120〜245)、ALP 166 U/L(基準 115〜359)、γ-GTP 35 U/L(基準8〜50)、CK 121 U/L、尿素窒素 20 mg/dL、クレアチニン 0.7 mg/dL、血糖 103 mg/dL、Na 142 mEq/L、K 3.9 mEq/L、Cl 101 mEq/L。脳性ナトリウム利尿ペプチド(BNP)2,200 pg/mL(基準 18.4 以下)。心電図及び胸部エックス線写真を別に示す。
この患者で、失神の原因として不整脈を疑う場合に聞くべき質問はどれか。
a. 「倒れた後、舌を噛んで口から血が出ていませんでしたか」
b. 「呼吸が速くなってきて、手足がしびれてきませんでしたか」
c. 「倒れた後、30 分程度意識がもうろうとしていませんでしたか」
d. 「座っていたときに急に目の前が暗くなって倒れませんでしたか」
e. 「突然バットで殴られたような激しい頭痛の後に意識を失いませんでしたか」
この患者でみられる身体所見はどれか。
a. 遅脈
b. Ⅱ音の亢進
c. Kussmaul 呼吸
d. 腋窩に放散する収縮期心雑音
e. しゃがんだ時に減弱する心雑音
