70 歳の女性。発熱および左殿部痛のため救急車で搬入された。
現病歴 : 1か月前から左殿部に圧痛を伴う発赤が出現した。また、しばしば腟から排膿することがあった。10 日前から発熱が出現し、以後は食事摂取量が少なかったという。左殿部の痛みにより歩行も困難になったため救急車を要請した。
既往歴 : 10 年前に人工物による子宮脱の手術を受けた。
生活歴 : 専業主婦。
家族歴 : 父が糖尿病、高血圧症。
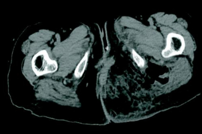
現症 : 意識レベルは JCSⅠ-2。身長 145 cm、体重 46.6 kg。体温 39.0 ℃。心拍数 92/分、整。血圧 108/76 mmHg。呼吸数 24/分。SpO₂ 98 %(マスク5L/分酸素投与下)。心音と呼吸音とに異常を認めない。腹部は平坦、軟で、肝・脾を触知しない。左殿部を別に示す。同部に強い圧痛を認める。内診で腟後壁に瘻孔と排膿が観察され、膿は悪臭である。直腸指診では異常を認めない。
検査所見 : 血液所見:赤血球 403 万、Hb 12.2 g/dL、Ht 35 %、白血球 1,800、血小板3万、PT-INR 1.3(基準 0.9〜1.1)、血清 FDP 26μg/mL(基準 10 以下)。血液生化学所見:総蛋白 4.6 g/dL、アルブミン 1.7 g/dL、総ビリルビン 2.4mg/dL、AST 48 U/L、ALT 47 U/L、LD 216 U/L (基準 120〜245)、γ-GT 40 U/L(基準8〜50)、アミラーゼ 17 U/L(基準 37〜160)、CK 72 U/L(基準 30〜140)、尿素窒素 32 mg/dL、クレアチニン 2.1 mg/dL、血糖 215 mg/dL、HbA1c 9.0 %(基準 4.6〜6.2)、 Na 132 mEq/L、 K 3.8 mEq/L、 Cl 105 mEq/L。 CRP 19 mg/dL。
殿部 CT の水平断像を別に示す。
病原微生物として可能性が高いのはどれか。2つ選べ。
a. Candida albicans
b. Chlamydia trachomatis
c. Clostridioides difficile
d. Escherichia coli
e. Peptostreptococcus anaerobius
緊急に行うべき治療はどれか。2つ選べ。
a. 高圧酸素療法
b. 抗菌薬投与
c. 抗凝固療法
d. 腟瘻孔閉鎖
e. デブリドマン
この患者において重症度判定に有用でないのはどれか。
a. ALT
b. 白血球数
c. 血小板数
d. 総ビリルビン
e. クレアチニン
