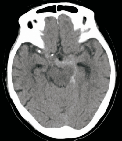
60歳の男性。突然起こった激しい後頭部痛、悪心および嘔吐を主訴に来院した。症状出現後、後頭部痛は少しやわらいだが、市販の鎮痛薬を服薬しても継続したため受診した。
来院時、意識は清明で項部硬直は認めなかった。頭部CTを別に示す。
診断として最も考えられるのはどれか。
a. 髄膜炎
b. 片頭痛
c. 脳幹出血
d. くも膜下出血
e. 急性硬膜下血腫
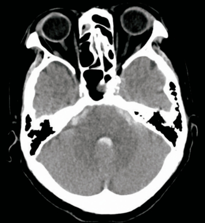
60歳の男性。突然起こった激しい後頭部痛、悪心および嘔吐を主訴に来院した。症状出現後、後頭部痛は少しやわらいだが、市販の鎮痛薬を服薬しても継続したため受診した。
来院時、意識は清明で項部硬直は認めなかった。頭部CTを別に示す。
診断として最も考えられるのはどれか。
a. 髄膜炎
b. 片頭痛
c. 脳幹出血
d. くも膜下出血
e. 急性硬膜下血腫
過去問チャートは、医療系国家試験の過去問をテーマ別に整理・解説した無料の学習サービスです。
※公式問題・正答は厚生労働省公開資料をもとに整理しています。
システム設計・解説記入:米澤 昌紘(X : @leknyan)
(医師/日本橋内科クリニック院長)