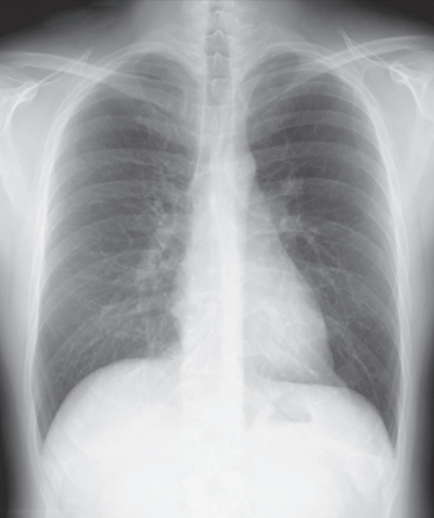
A 21-year-old previously healthy man presented to the emergency room with chest pain, which was worse on breathing, lasting for two days. Lung and heart examinations were unremarkable. Chest X-ray and ECG are shown in the figure.
What is the most likely diagnosis?
a. Herpes zoster
b. Myocardial infarction
c. Pericarditis
d. Pneumothorax
e. Pulmonary embolism
