医師免許申請用診断書

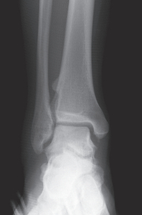
20歳の男性。右足関節の外側部痛を主訴に来院した。昨日、サッカーの練習中に右足関節を捻り受傷した。右足関節の外果周囲に皮下出血を伴う腫脹を認める。右足関節のエックス線写真と受傷肢位を強制したストレスエックス線写真を別に示す。

右足関節の状態として適切なのはどれか。

a. 強直

b. 拘縮

c. 破壊

d. 変形

e. 不安定性

解答を見る

過去問チャートは、医療系国家試験の過去問をテーマ別に整理・解説した無料の学習サービスです。
※公式問題・正答は厚生労働省公開資料をもとに整理しています。


システム設計・解説記入:米澤 昌紘(X : @leknyan
(医師/日本橋内科クリニック院長)