65歳の女性。便潜血陽性を指摘され来院した。
現病歴:職場の健康診断で便潜血陽性を指摘され精査目的で受診した。便通異常の自覚はない。
既往歴:55歳時から高血圧症のため内服治療中であり、60歳時から糖尿病のためインスリン治療を受けている。
生活歴:事務職で在宅勤務をしている。
家族歴:父親が75歳時に大腸癌の手術を受けた。
現症:意識は清明。身長155cm、体重48kg。体温36.2℃。脈拍60/分、整。血圧120/84mmHg。呼吸数16/分。SpO2 96%(room air)。眼瞼結膜と眼球結膜に異常を認めない。頸静脈の怒張を認めない。頸部リンパ節を触知しない。心音と呼吸音に異常を認めない。腹部は平坦、軟で、肝・脾を触知しない。四肢に浮腫を認めない。
検査所見:尿所見:蛋白(−)、糖(−)、ケトン体(−)、潜血(−)、沈渣に白血球を認めない。血液所見:赤血球 468万、Hb 13.9 g/dL、Ht 42%、白血球 8,300(桿状核好中球 2%、分葉核好中球 66%、好酸球 1%、好塩基球 1%、単球 6%、リンパ球 24%)、血小板 21万。血液生化学所見:総蛋白 7.5 g/dL、アルブミン 3.9 g/dL、総ビリルビン 0.9 mg/dL、直接ビリルビン 0.2 mg/dL、AST 26U/L、ALT 28 U/L、LD 104 U/L(基準 120~245)、ALP 102U/L(基準 38~113)、γ-GT 25U/L(基準8~50)、アミラーゼ 42 U/L(基準 37~160)、CK 42U/L(基準 30~140)、尿素窒素12 mg/dL、クレアチニン 0.6 mg/dL、尿酸 6.9 mg/dL、血糖 98 mg/dL、HbA1c 7.2%(基準 4.6~6.2)、総コレステロール 226 mg/dL、トリグリセリド 110 mg/dL、HDLコレステロール 64 mg/dL、LDLコレステロール 126 mg/dL、Na 136mEq/L、K 4.2 mEq/L、Cl 99 mEq/L、Ca 9.2 mg/dL、P 3.2 mg/dL。CRP 0.1 mg/dL。
経過:鎮静薬を投与して下部消化管内視鏡検査を行うこととした。
この患者に行うべきなのはどれか。2つ選べ。
a. 検査前日の腹部エックス線撮影
b. 検査前日の便潜血検査
c. 検査当日のインスリン投与法の調整
d. 検査当日の降圧薬内服の調整
e. 検査翌日の下剤投与
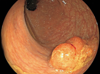
下部消化管内視鏡像を別に示す。
病変が存在する部位はどこか。
a. 直腸
b. 盲腸
c. 上行結腸
d. 横行結腸
e. 下行結腸
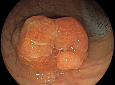
腹部造影CTでは明らかな転移を認めなかった。後日入院し治療が行われた。治療時の下部消化管内視鏡像を別に示す。
この患者に行われたのはどれか。
a. 内視鏡的硬化療法
b. 内視鏡的異物除去術
c. 内視鏡的粘膜切除術
d. アルゴンプラズマ凝固
e. 内視鏡的粘膜下層剥離術
