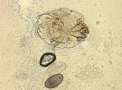
76 歳の男性。全身の強い瘙痒を主訴に来院した。介護老人保健施設に入所中である。2 か月前から全身に瘙痒があり、瘙痒のために夜も眠れないことがある。腋窩、体幹、四肢、手掌および陰部に紅色の丘疹や搔破痕がみられる。手掌の丘疹部から採取した検体の顕微鏡写真を別に示す。
正しいのはどれか。
a. 蚊により媒介される。
b. 有効な治療薬はない。
c. ヒトからヒトへ感染する。
d. 近年はまれな疾患となった。
e. アトピー性皮膚炎の原因の一つである。
76 歳の男性。全身の強い瘙痒を主訴に来院した。介護老人保健施設に入所中である。2 か月前から全身に瘙痒があり、瘙痒のために夜も眠れないことがある。腋窩、体幹、四肢、手掌および陰部に紅色の丘疹や搔破痕がみられる。手掌の丘疹部から採取した検体の顕微鏡写真を別に示す。
正しいのはどれか。
a. 蚊により媒介される。
b. 有効な治療薬はない。
c. ヒトからヒトへ感染する。
d. 近年はまれな疾患となった。
e. アトピー性皮膚炎の原因の一つである。
疥癬は、ヒゼンダニが原因で起こる皮膚病。このダニが皮膚に侵入しすることによって痒みや発疹が引き起こされる。
疥癬は「ヒトからヒトへ感染する」ことが正しい。疥癬は肌の接触を通じて人から人へと非常に容易に感染しうる。家族内や介護施設、集団生活をしている場所でのアウトブレイクがよく起こる。
過去問チャートは、医療系国家試験の過去問をテーマ別に整理・解説した無料の学習サービスです。
※公式問題・正答は厚生労働省公開資料をもとに整理しています。
システム設計・解説記入:米澤 昌紘(X : @leknyan)
(医師/日本橋内科クリニック院長)