医師免許申請用診断書

12 歳の男児。左上腕部痛を主訴に父親に連れられて来院した。すべり台から転落して受傷したという。

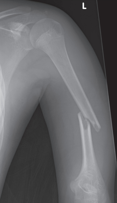
身長 133 cm、体重 28 kg。体温 36.5 ℃。左上腕中央部に腫脹を認める。左手関節の背屈ができず、左手背に感覚鈍麻を認める。左上腕骨エックス線写真を別に示す。

障害されている神経はどれか。

a. 腋窩神経

b. 筋皮神経

c. 尺骨神経

d. 正中神経

e. 橈骨神経

解答を見る

過去問チャートは、医療系国家試験の過去問をテーマ別に整理・解説した無料の学習サービスです。
※公式問題・正答は厚生労働省公開資料をもとに整理しています。


システム設計・解説記入:米澤 昌紘(X : @leknyan
(医師/日本橋内科クリニック院長)