56 歳の女性。強い頭痛後に、意識障害を生じたため救急車で搬入された。
現病歴:自宅で家事をしていたところ、突然強い頭痛を訴えた。その後まもなく反応が無くなったため、長女が救急車を要請した。 2 日前に頭痛で自宅近くの診療所を受診した際の検査結果を長女が持参している。
既往歴:12 歳時に急性虫垂炎で手術。 2 日前に頭痛があり、自宅近くの診療所で処方された鎮痛薬を内服している。
生活歴:夫、長女および長男との 4 人暮らし。30 年前に会社を退職した。喫煙歴はない。飲酒は機会飲酒。
家族歴:特記すべきことはない。
現症:意識レベルは JCSⅢ-100。身長 152 cm、体重 56 kg。体温 37.2 ℃。心拍数 56/分、 整。 血圧 192/102 mmHg。 呼吸数 24/分。SpO2 96 %(マスク 5 L/分 酸素投与下)。瞳孔径は両側 3.0 mm。対光反射は両側で遅延している。眼瞼結膜と眼球結膜とに異常を認めない。頭部に外傷はない。口腔内と咽頭とに異常を認めない。頸静脈の怒張を認めない。甲状腺腫と頸部リンパ節とを触知しない。心音と呼吸音とに異常を認めない。腹部は平坦、軟で、肝・脾を触知しない。浮腫を認めない。腱反射に異常を認めない。
検査所見(持参したもの):尿所見:蛋白(-)、糖(-)。血液所見:赤血球 453 万、Hb 13.0 g/dL、Ht 39 %、白血球 9,600(分葉核好中球 52 %、好酸球 5 %、好塩基球 1 %、単球 5 %、リンパ球 36 %)、血小板 26 万。血液生化学所見:総蛋白 6.8 g/dL、 アルブミン 3.9 g/dL、 総ビリルビン 0.9 mg/dL、 直接ビリルビン 0.3 mg/dL、AST 30 U/L、ALT 26 U/L、LD 130 U/L(基準 120~245)、尿素窒素 15 mg/dL、 クレアチニン 0.7 mg/dL、 血糖 88 mg/dL、Na 138 mEq/L、K 4.1 mEq/L、Cl 100 mEq/L。
まもなく、刺激に対する反応がなくなり、自発呼吸が停止した。頸動脈は触知できなかった。モニター心電図を別に示す。
この時点での心電図診断で正しいのはどれか。
a. 心静止
b. 心室細動
c. 心房細動
d. 無脈性心室頻拍
e. 無脈性電気活動〈PEA〉
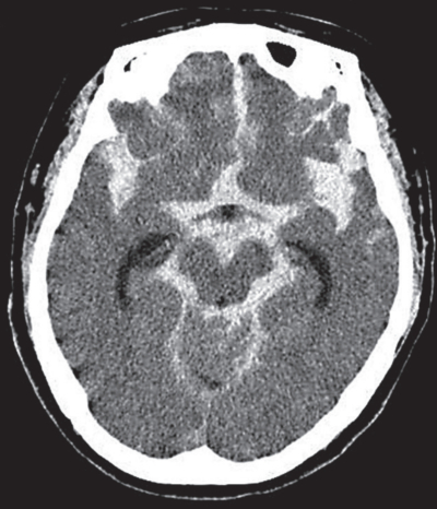
その後、直ちに胸骨圧迫およびバッグバルブマスク換気を開始し、静脈路確保を行った。アドレナリンを静脈投与した後に、自己心拍が再開し、心拍数 90/分、整。血圧 126/72 mmHg となった。自発呼吸は認めなかったため気管挿管を行い集中治療室へ入院となった。意識レベルは JCSⅢ-300 から JCSⅢ-100 となった。SpO2 は 98 %(吸入酸素濃度 60 %)であった。自発呼吸は回復しなかった。入院後に撮影した頭部単純 CTを別に示す。
行うべき治療で誤っているのはどれか。
a. 血圧管理
b. 人工呼吸
c. 体温管理療法
d. 緊急ペーシング
e. 高浸透圧利尿薬投与
入院 5 日目、昇圧薬を継続して投与していたが、瞳孔径が両側 5.0 mm となり、対光反射は両側で消失した。その後、血圧が低下し、心停止となり、死亡確認を行った。
その後の対応で正しいのはどれか。
a. 警察に連絡する。
b. 保健所に連絡する。
c. 司法解剖を依頼する。
d. 死亡診断書を作成する。
e. 医療安全支援センターに届け出る。
