58歳の男性。筋力低下と嚥下困難とを主訴に来院した。
現病歴:1か月前から階段を昇るときに手すりが必要になった。1週間前から固形物を飲み込むのが難しくなり、昨日、洋式トイレで妻の助けがないと立ち上がる ことができなかったため受診した。
既往歴:10 年前から高血圧症で内服治療中。
家族歴:特記すべきことはない。
現症:意識は清明。身長 176 cm、体重 65 kg。体温 36.2 ℃。脈拍 72/分、整。血圧 138/76 mmHg。呼吸数 12/分。SpO2 98 %(room air) 。両肘頭に軽度の紅斑を認める。胸腹部に異常を認めない。表在リンパ節を触知しない。四肢近位筋に左右対称性の把握痛と徒手筋力テストで3~4の筋力低下とを認める。感覚障害と小脳性運動失調とを認めない。
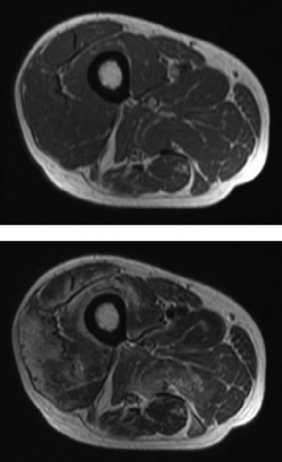
検査所見:血液所見:赤血球 504 万、Hb 15.8 g/dL、Ht 45 %、白血球 7,700、血小板 35 万。血液生化学所見:総蛋白 7.2 g/dL、アルブミン 3.3 g/dL、総ビリルビン 0.6 mg/dL、AST 96 U/L、ALT 112 U/L、CK 2,380 U/L(基準 30〜140)、Na 139 mEq/L、K 4.3 mEq/L、Cl 108 mEq/L。胸腹部 CT に異常を認めない。右大腿腿部 MRI の T1 強調像と T2 強調像とを別に示す。
この患者でみられる症状はどれか。2つ選べ。
a. 物が二重に見える。
b. つま先立ちができない。
c. 仰臥位で頭が持ち上がらない。
d. 電車の網棚に荷物が載せられない。
e. 睡眠を十分にとると筋力が正常化する。
この患者の電気生理学的検査所見で正しいのはどれか。
a. 針筋電図における安静時自発電位
b. 表面筋電図におけるミオトニー放電
c. 運動神経伝導検査における時間的分散
d. 反復性誘発筋電図における waning 現象
e. 感覚神経伝導検査における伝導速度の遅延
この患者に最初に投与すべき薬剤はどれか。
a. ネオスチグミン
b. プレドニゾロン
c. ビタミン B12 製剤
d. レボフロキサシン
e. 免疫グロブリン製剤
